CÉDULA EN LA DIRECCIÓN GENERAL DE PROFESIONES (médico general): 1146192 | AUTORIZACIÓN PARA EJERCER LA ESPECIALIDAD DE GINECO-OBSTETRA DE LA D.G.P. No. AEIE-006714 (cédula federal de especialista) | CÉDULA ESTATAL DE MÉDICO GENERAL: 10736 (12-1) | CEDULA ESTATAL DE GINECÓLOGO (JALISCO): 129 (12-119) E. Actividades Profesionales, Técnicas, Auxiliares y Especialidades. COFEPRIS-02-002-A. Establecimiento: Consultorio Médico Especialista en Ginecología. Ubicación: Guadalajara, Jalisco. Finalizado: 2023-02-08 Tipo de trámite: Alta. Número de ingreso: 2314102002A00015. Acuse de recibo.

Galería de tratamientos

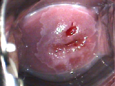
Displasia moderada de cérvix o Neoplasia Intraepitelial de Cérvix grado 2, asociada a infección por virus del papiloma humano.


  • Fotovaporización con láser CO2 de cérvix
  • Fotovaporización con láser CO2 de cérvix
  • Un mes después


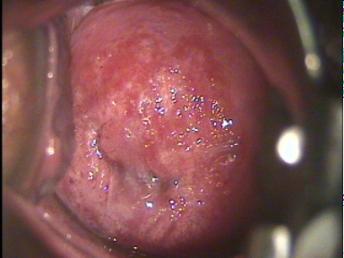
Displasia moderada del cérvix o Neoplasia Intraepitelial de Cérvix grado 2, asociada a infección por virus del papiloma humano.


  • Día del tratamiento
  • Con el tratamiento
  • Al mes del tratamiento
  • Al sexto mes del tratamiento


Displasia moderada o Neoplasia Intraepitelial de Cérvix grado 2 asociada a infección por virus del papiloma humano.


  • Vaporización láser CO2
  • Seis meses post tratamiento


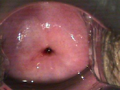
Ectropión de gran extensión del cérvix.


  • Vaporización con Láser CO2
  • Cicatrización al mes
  • Y al séptimo mes posterior al tratamiento


Ectropión de gran extensión.


  • Vaporización con láser CO2
  • Cicatrización al mes
  • Cicatrización al sexto mes


Lesiones por virus del papiloma humano en vulva.


  • Vaporización con láser CO2
  • Cicatrización al mes
  • Cicatrización al sexto mes


Ectropión de gran extensión.


  • Vaporización con láser CO2
  • Cicatrización al mes
  • Y al séptimo mes posterior al tratamiento


Lesiones por virus del papiloma humano en vulva.


  • Vaporización con láser CO2
  • Cicatrización al mes


Displasia moderada de cérvix o Neoplasia Intraepitelial de Cérvix grado 2, asociada a infección por virus del papiloma humano.


  • Vaporización con láser CO2 del cérvix
  • Cicatrización al mes


Ectropión de gran extensión o eversión glandular.


  • Vaporización con láser CO2 del cérvix
  • Cicatrización al mes
  • Cicatrización al sexto mes


Lesiones por virus del papiloma humano en vulva.


  • Vaporización con láser CO2
  • Cicatrización al mes
  • Cicatrización al sexto mes


Displasia moderada o Neoplasia Intraepitelial de Cérvix grado 2, asociada a infección por virus del papiloma humano.


  • Cono de cérvix con asa diatérmica
  • Cicatrización al mes


Displasia moderada o Neoplasia Intraepitelial de cérvix grado 2.


  • Tratamiento de fotovaporización en cérvix
  • Tres meses posteriores a tratamiento
  • Condilomas en vulva y perine
  • Tratamiento de fotovaporización
  • 6 semanas posterior a tratamiento


Ectropión de gran extensión, tratado mediante fotovaporización con láser CO2.


  • Vaporización con láser CO2
  • Cicatrización al mes
  • Y a los 6 meses


Ectropión de gran extensión, tratado mediante fotovaporización con láser CO2.


  • Vaporización con láser CO2
  • Cicatrización al mes
  • Cicatrización al mes
  • Cicatrización al sexto mes


Condilomas acuminados en vulva, periné y región peri anal.


  • Vaporización con láser CO2
  • Cicatrización al mes


Condilomas en vulva, periné y ano.


  • Lesiones del 21 de mayo 2004
  • Vaporización con láser CO2
  • Cicatrización al mes


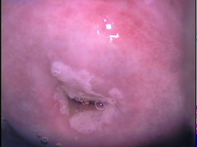
Condilomas En Cérvix Y Vagina.


  • Vaporización con láser CO2 de cérvix y vagina
  • Cicatrización al mes del tratamiento


Condilomas acuminados.


  • Condilomas acuminados
  • Tratamiento fotovaporización laser CO 2
  • Control primer mes post tx
  • Control sexto mes post tx


Displasia moderada o Neoplasia Intraepitelial de Cérvix grado 2, asociada a infección por virus del papiloma humano en vulva.


  • Vaporización con láser CO2
  • Cicatrización al mes del tratamiento
  • Cicatrizazción 6 meses después del tratamiento


Condilomas acuminados en cérvix y fondo de saco vaginal anterior asociados a infección por virus del papiloma humano.


  • Vaporización con láser CO2de cérvix
  • Fondo de saco vaginal
  • Cicatrización al mes del tratamiento
  • Control posterior a tratamiento sexto mes


Condilomas acuminados asociados a infección por virus del papiloma humano en vulva y periné.


  • Vaporización con láser CO2 de vulva y periné
  • Cicatrización al mes del tratamiento


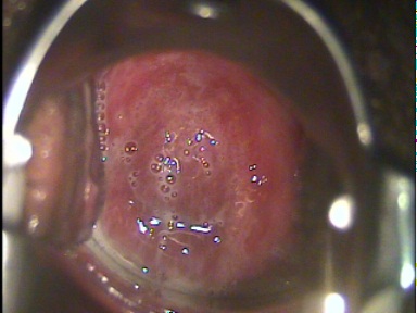
Displasia severa de cérvix o Neoplasia Intraepitelial de Cérvix grado 3, asociada a infección por virus del papiloma humano.


  • Vaporización con láser CO2
  • Cicatrización al mes


« Regresar