CÉDULA EN LA DIRECCIÓN GENERAL DE PROFESIONES (médico general): 1146192 | AUTORIZACIÓN PARA EJERCER LA ESPECIALIDAD DE GINECO-OBSTETRA DE LA D.G.P. No. AEIE-006714 (cédula federal de especialista) | CÉDULA ESTATAL DE MÉDICO GENERAL: 10736 (12-1) | CEDULA ESTATAL DE GINECÓLOGO (JALISCO): 129 (12-119) E. Actividades Profesionales, Técnicas, Auxiliares y Especialidades. COFEPRIS-02-002-A. Establecimiento: Consultorio Médico Especialista en Ginecología. Ubicación: Guadalajara, Jalisco. Finalizado: 2023-02-08 Tipo de trámite: Alta. Número de ingreso: 2314102002A00015. Acuse de recibo.

Colposcopía

¿Es un estudio o un tratamiento?

Es un estudio que de preferencia debe practicar un médico entrenado en colposcopía, es realizado por medio de un microscopio, se revisa el tracto ano-genital femenino (cérvix o cuello del útero, vagina, vulva y periné) y masculino (pene, testículos y meato uretral) así como en ambos sexos realizar valoración de la región perianal y ano para localizar las zonas afectadas debiendo seleccionar la de mayor gravedad para la toma de la biopsia. Otro objetivo importante es determinar la extensión y profundidad de las lesiones precancerosas o de infección subclínica (no visible al ojo humano) ocasionadas por el VPH para seleccionar el tratamiento adecuado.


Lesiones en Cérvix


Vagina lesiones por vph planas y acuminadas


Vulva lesiones planas, micropapilares y acuminadas

Es muy recomendable que se practique un estudio de colposcopía de preferencia en una Clínica de Displasias por un Ginecólogo Colposcopista u Oncólogo Colposcopista que cuente con la adecuada capacitación que exige la Organización Mundial de la Salud y regulado por la Norma Oficial Mexicana (NOM-014-SSA2-1994), la cual indica que dicho médico deberá ser capacitado diariamente, durante 6 meses por médicos colposcopístas expertos en una clínica de displasias que concentre a gran cantidad de pacientes enfermas y sanas para que puedan adquirir experiencia los médicos en entrenamiento.

La cantidad de médicos bien capacitados ha sido insuficiente ante la demanda de atención de la población afectada, lo cual ha ocasionado que se estén realizando estudios de diagnóstico inadecuados y que se realicen tratamientos innecesarios o exagerados ya que el tipo de tratamiento debe ser acorde a cada paciente y se realizan histerectomías o conos de cérvix muy grandes que ocasionan hemorragia y riesgo de incompetencia cervical con posibilidad de abortos repetidos y a utilizar substancias químicas cáusticas o aparatos obsoletos para tratar condilomas planos y acuminados en genitales.

En las Instituciones de Salud Pública (Hospitales de la Secretaría de Salud, IMSS, ISSSTE, etc.), los servicios de Gineco-Obstetricia (atención de segundo nivel), cuentan con el apoyo de diferentes Subespecialidades (tercer nivel de atención), para la atención de las pacientes con Displasias (Lesión Escamosa Intraepitelial o Neoplasia Intraepitelial de Cérvix "NIC") así como los condilomas por VPH son derivadas de preferencia para una mejor atención a las Clínicas de Colposcopia o Displasias. EN LA MEDICINA PRIVADA, debiera de llevarse a cabo el mismo comportamiento de parte de los Gineco-Obstetras.


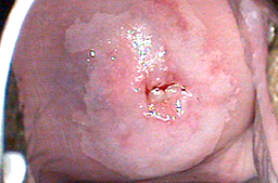
NIC 2 o Displasia moderada asociada a infección por VPH


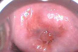
Displasia leve con gran ectropión y lesiones por VPH en vulva.


Tratamiento mediante fotovaporización con láser CO2.
Cicatriazación al mes del tratamiento
Cicatrización al sexto mes del tratamiento

Neoplasia Intraepitelial de Cérvix grado 2 o Displasia moderada.


  • Fotovaporización con láser CO2
  • Cicatriazación al mes del tratamiento
  • Cicatrización al sexto mes del tratamiento

ECTROPION DE GRAN EXTENSION, tratado mediante fotovaporización con láser CO2

Cicatrización al mes del tratamiento y cicatrización al sexto mes del tratamiento
» Galería de tratamientos