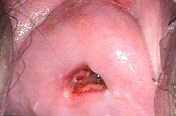
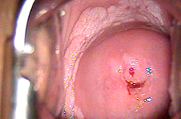
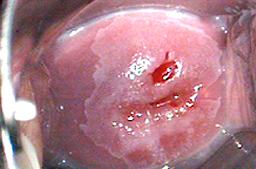
Es la destrucción con suma precisión de la piel infectada por virus del papiloma humano ó con displasia a la profundidad que requiera cada región anatómica. En cérvix se pueden requerir desde 4 a 10 mm. En vagina de 2 a 4 mm. En vulva e introito a menos de 1 mm (800 micras). En pene y testículos a 700 micras.
Se utiliza el Láser CO2 porque se pueden regular con gran precisión y además que dicha energía no ocasiona daños a distancia (quemaduras no visibles) con mínimos efectos secundarios.
Riesgos de un mal tratamiento:
La recurrencia, por utilizar un tratamiento con bajo índice de éxito o porque el sistema inmunológico del paciente no es lo suficientemente efectivo para eliminar la infección viral.
Las consecuencias de un mal tratamiento pueden ser muy dolorosas u ocasionar ansiedad a los pacientes por los siguientes motivos:











